よくあるご質問
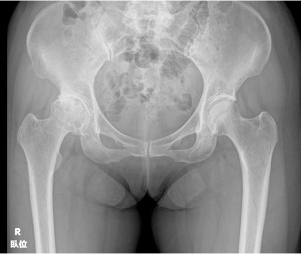
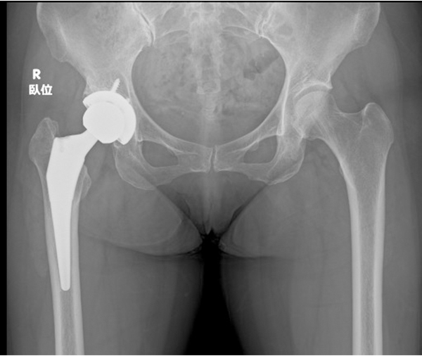
Q.「人工股関節置換術」について教えてください


人工股関節は金属製(コバルトやチタン合金)のステムとソケット、ポリエチレン製のライナー、セラミック製の骨頭で構成されています。 当院ではライナーに耐摩耗性に優れた超高分子ポリエチレンを使用しています。また、接着剤として骨セメントを使用するタイプと使用しないタイプがあり、当院では原則セメントを使用しないタイプを採用しています。

MIS人工股関節置換術
MISとはminimally invasive surgery(最小侵襲手術)という意味です。当院ではMISの一つ、仰臥位前外側進入法(ALS-Approach)を採用しています。 従来法では15~20cmの皮膚切開が必要でしたが、MISでは8~12cmで行うことが可能です(変形の程度、体格により適応とならない場合があります)。 また、股関節周囲の筋肉・腱を切らずに手術を行うことで、術後の痛みや筋力低下が軽減され、早期リハビリ、早期退院、早期社会復帰が可能となりました。多くの患者様が術後2週間程度で退院され、入院医療費負担の軽減にもつながります。
仰臥位で行うため、左右の股関節が傷んでいる場合の両側同時人工股関節手術にも対応可能です。

手術後の生活
手術後は、股関節周囲の筋力が回復していれば、普通の歩行・動作ができるようになります。買い物や家事、坂道歩行や階段昇降、旅行などが可能となります。MRI検査も受けることができます。
スポーツ活動については、一般的にレクリエーションレベルで衝撃のかからないスポーツへの参加が推奨されています。 ゴルフ、水泳、ウォーキング、ハイキング、ボウリング、エアロバイク、サイクリング、ダブルステニス、軽いエアロビ、社交ダンスなどは推奨されます。スキー、スケートは経験者には許可、野球、バスケット、フットボールは推奨できないとされています。
人工股関節手術のリスク
人工股関節置換術は成績が安定した優れた手術です。しかし手術である以上、合併症のリスクがあります。合併症が発生する確率は極めて稀ですがゼロではありません。手術を検討する際には是非知っておいていただく必要があります。以下に主な合併症を示します。
①深部静脈血栓症・肺血栓塞栓症 (エコノミークラス症候群)
下肢静脈の流れが停滞し血管の中で血の塊(血栓)ができることにより発生します。血栓が肺に詰まる(肺塞栓症)と重症になるため、予防が重要です。 当院では術前より理学療法士による運動療法を開始し、また、抗血栓薬・弾性ストッキング・フットポンプを併用し、早期離床を図っています。
②細菌感染
患部に細菌が入り感染を起こすことです。抗生剤の治療を行いますが、感染が治まらない場合には人工関節を抜去し再度入れなおすことがあります。当院ではクリーンルームで手術を行い、術者は全身を覆う特別な手術着を使用して感染防止対策をしています。
③脱臼
当院で行っている手術法は筋肉・腱を切離しないため、脱臼の危険性はほとんどありません。しかし万が一脱臼したときは麻酔下で整復する必要があります。
④人工関節の緩み
術後の身体活動により、人工関節が摩耗し緩みが出ることがあります。現在の製品で20年以上の耐久性があると考えられますが、活動性の違いにより耐久年数が短くなることがあります。